В Австрії медики вперше установили біонічний протез птахові

Вчені з Медичного університету Відня першими у світі встановили біонічну кінцівку птахові
Гриф-ягнятник Мія завдяки протезу отримала друге життя.
Про це йдеться в публікації Scientific Reports, передає пресслужба Медичного університету Відня.
У публікації зазначається, що самці грифа-ягнятника, на ім'я Мія встановили внутрішньокістковий протез на лапу, який дозволив їй відновити попередню рухливість.
Науковці пояснили, що великі хижі птахи, як-от грифи, мають швидко пересуватися й хапати здобич своїми лапами, аби не померти від голоду. Втрата чи навіть поранення кінцівки для них може обернутися виснаженням та зрештою смертю.
Лапи таких птахів повинні витримувати навантаження після приземлення з великої висоти, а тому обійтися звичайним протезом у таких випадках неможливо.
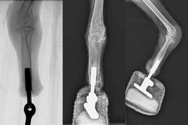
До Медичного університету Відня звернулися із заказника для хижих птахів та рептилій міста Харингзее з проханням допомогти однорічній самці грифа-ягнятника Мії, якій довелося ампутувати праву лапу: під час звивання гнізда Мія перетиснула її вовною, й лапа відмерла.
Після огляду фахівці вирішили створити спеціальний біонічний протез. Такі протези вже раніше встановлювали людям, але досі ніколи — птахам.

Біонічний імплантат було встановлено за технікою остеоінтеграції, або приєднання протеза безпосередньо до кістки. Операцію проводили в кілька етапів. Спершу завдяки остеотомії у кістці просвердлили отвір, у який потім вставили імплантат. Далі на нього одягли протез, що сполучається з імплантатом через шарнір. Сам протез вкритий кількома шарами м’якого і в’язкого матеріалу, щоб не викликати тертя й витримувати навантаження на лапу.
Після операції Мію відвезли на реабілітацію назад до Харингзее.