Кашель не головний симптом туберкульозу — науковці

Здавна людство досягло великого прогресу у діагностиці та лікуванні сухот. Це інфекційне захворювання викликають палички Коха.
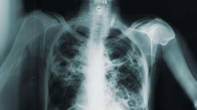
Команда медиків з Амстердамського університету, Амстердамського інституту глобальної охорони здоров'я та розвитку за підтримки співробітників Федерального міністерства охорони здоров'я Судану і Служби охорони здоров'я Ґани вивчила поширеність субклінічного туберкульозу легень. Тобто такого, що немає виражених симптомів, але виявляють під час обстеження пацієнтів удома.
Про результати свого дослідження науковці розповіли у статті для міжнародного медичного журналу The Lancet Infectious Diseases. Зазначається, що інфекційне захворювання провокується різними видами мікроорганізмів із групи Mycobacterium tuberculosis complex.
Згідно із комплексним експериментом, проведеного у Замбії, Лаосі, Ґамбії, Камбоджі та Південній Африці, 60% пацієнтів із туберкульозом не повідомляли про постійний кашель. У третини з них протягом понад місяць спостерігалися інші симптоми, що вказують на сухоти й тільки у 9% зовсім не було ознак хвороби.
Науковці наголошують, що туберкульоз без симптомів найчастіше зустрічається у молодших людей, жінок та мешканців міст (здебільшого перенаселених нетрів — прим. ред.). Водночас сухоти із меншою ймовірністю дає позитивні результати мазків: їхню частку оцінили у 29,1%.
«Більшість людей, хворих на туберкульоз, не повідомляють про кашель. Чверть наших піддослідних узагалі не відзначають симптомів, які б вказували на це захворювання. Тобто підтвердити наявність хвороби ми змогли лише після відвідин того чи іншого пацієнта.
Проте чверть із тих, хто не має кашлю, мають позитивні мазки мокротиння, що вказує на їхнє зараження і заразність. В умовах високої захворюваності субклінічний туберкульоз може ставати справжнім тягарем цієї хвороби та підвищувати ризики передачі мікобактерій оточенню», — підсумували автори дослідження.
Однак медіаагенція «Останній Бастіон» закликає своїх читачів не забувати про те, що у бактеріях із Тибету виявили 3 класи природних антибіотиків. Біологи з'ясували: деякі ґрунтові й озерні бактерії високогірного азійського краю виробляють молекули рифаміцинів, кадаміцинів, хадаміцинів.
